Health conditions

Tooth decay and gum disease

Good oral hygiene from an early age is important if you want to have healthy teeth and gums. With good mouth care, it is possible to keep your teeth for life.

Clean, healthy teeth and gums will ensure good oral health, which means no toothache, pain or discomfort, and less cost at the dentist.

What can go wrong?

Most dental problems begin with plaque, a sticky layer of germs that grow on teeth daily.

There are 2 main dental diseases:

  • tooth decay
  • gum disease.

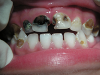
Teeth showing black and yellow tooth decayWhat is tooth decay?

Tooth decay occurs when germs in plaque turn the sugars found in food and drinks into acid which attacks the teeth.

If this happens often, the plaque acid can make a hole in the tooth (tooth decay).

Tooth decay affects people of all ages and it can start at a very young age.

What is gum disease?

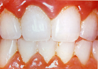
Gum disease occurs when germs in the plaque infect the gums, causing them to become red and puffy and to bleed easily (gingivitis).Mouth showing red, puffing gums and plaque on teeth

In severe cases of gum disease the infection can spread to the supporting bone around the teeth and loosen them, and over time you may lose teeth.

If plaque is left on teeth for a long time it can become hard, and this is called calculus or tartar.

This cannot be removed with a toothbrush and must be scraped off by an oral health professional.

What can you do?

Clean your teeth and gums twice a day with fluoride toothpaste to remove plaque. This will help stop decay and gum disease as well as bad breath.

Sugars in food and drinks encourage the growth of germs in plaque, so only have sugary food and drinks occasionally, and ideally have them at mealtimes.

If you are thirsty, it is best to drink water. In most parts of Western Australia, the water supply contains fluoride which helps strengthen and protect teeth against decay.

Visit your oral health professional regularly and ask their advice about what is best for you.

Remember, what affects the health of your mouth affects the health of your body.

What can parents do for their children?

Children are not born with the germs that cause tooth decay.

The germs (bacteria) are passed from parents to children by things such as sharing spoons or tasting food. Parents can help stop tooth decay in their children by making sure their own teeth and gums are kept clean and healthy.

Where to get help

Dental Health Services

You can also

Remember

  • Plaque turns sugars in food and drinks into acids that attack your teeth and gums.
  • Adopting good oral hygiene is important for healthy teeth and gums.
  • Have regular dental check-ups to keep your teeth and gums healthy.

This publication is provided for education and information purposes only. It is not a substitute for professional medical care. Information about a therapy, service, product or treatment does not imply endorsement and is not intended to replace advice from your healthcare professional. Readers should note that over time currency and completeness of the information may change. All users should seek advice from a qualified healthcare professional for a diagnosis and answers to their medical questions.

Link to HealthyWA Facebook page